(nazyra )

(nazyra )

®

Omadacycline

Приём: один раз в день

(nazyra )

(nazyra )

®

Omadacycline

Приём: один раз в день

Пациент с CABP и хронической болезнью почек (ХБП), выписанный на пероральной NUZYRA
(Постановочное изображение)
Женщина 68 лет с 2-дневным анамнезом кашля и одышки
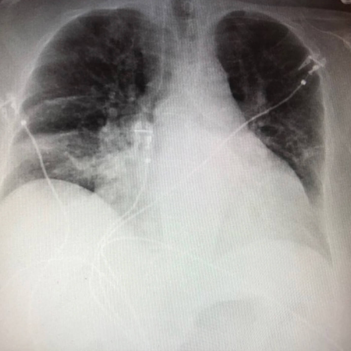
  • Рентгенография грудной клетки выявила двусторонние базальные инфильтраты (слева > справа), подозрительные на пневмонию
  • Сложные сопутствующие заболевания, включая ХБП (стадия 4) и сахарный диабет 2 типа
  • Приём множества лекарственных препаратов с учётом возможных лекарственных взаимодействий при выборе антибиотика
  • Выписана из стационара с назначением пероральной NUZYRA
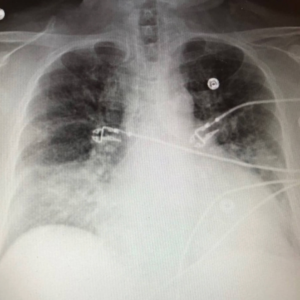
Клиническое излечение* после одного курса лечения с переходом с внутривенного на пероральный приём NUZYRA — повторная госпитализация не потребовалась¹
*Клиническое излечение при контрольной оценке после завершения лечения определялось как выживание пациента после окончания исследуемой терапии без необходимости в дополнительной антибактериальной терапии или внеплановом крупном хирургическом вмешательстве, а также с достаточным разрешением инфекции, при котором дальнейшая антибактериальная терапия не требуется.²
Первичная рентгенография грудной клетки
Контрольная рентгенография грудной клетки (через 2
Дополнительные медицинские данные:​
Дополнительные медицинские данные:
1. Лабораторные показатели¹
  • Забор крови на посев до начала внутривенного левофлоксацина
  • Креатинин 3,3 (исходный уровень 2,8)
  • Прокальцитонин
  • Респираторная вирусная панель
2. Физикальные данные¹
  • Одышка
  • Кашель
  • Рентгенография грудной клетки выявила двусторонние базальные инфильтраты (слева > справа), подозрительные на пневмонию
CKD — хроническая болезнь почек; ED — отделение неотложной помощи; IV — внутривенно; L>R — слева больше, чем справа.

Данный клинический случай отражает реальный опыт лечения пациента с применением NUZYRA. Представленные результаты соответствуют данным, полученным в клиническом исследовании OPTIC у пациентов с CABP. Индивидуальные результаты могут различаться.
Инструкция
ПОКАЗАНИЯ И ПРИМЕНЕНИЕ
NUZYRA® (омадациклин) — антибактериальный препарат класса тетрациклинов, показанный для лечения взрослых пациентов со следующими инфекциями, вызванными чувствительными микроорганизмами:

Внебольничная бактериальная пневмония (CABP), вызванная следующими возбудителями:

Streptococcus pneumoniae, Staphylococcus aureus (метициллин-чувствительные изоляты), Haemophilus influenzae, Haemophilus parainfluenzae, Klebsiella pneumoniae, Legionella pneumophila, Mycoplasma pneumoniae и Chlamydophila pneumoniae.

Острые бактериальные инфекции кожи и кожных структур (ABSSSI), вызванные следующими возбудителями:

Staphylococcus aureus (метициллин-чувствительные и метициллин-резистентные изоляты), Staphylococcus lugdunensis, Streptococcus pyogenes, Streptococcus anginosus grp. (включает S. anginosus, S. intermedius и S. constellatus), Enterococcus faecalis, Enterobacter cloacae и Klebsiella pneumoniae.
ПРИМЕНЕНИЕ
С целью снижения развития лекарственно-устойчивых бактерий и сохранения эффективности препарата NUZYRA и других антибактериальных средств, NUZYRA следует применять только для лечения или профилактики инфекций, которые доказанно или с высокой вероятностью вызваны чувствительными бактериями.
ВАЖНАЯ ИНФОРМАЦИЯ ПО БЕЗОПАСНОСТИ
ПРОТИВОПОКАЗАНИЯ
Препарат NUZYRA противопоказан пациентам с известной гиперчувствительностью к омадациклину или антибактериальным препаратам класса тетрациклинов, а также к любому из вспомогательных веществ препарата.
НЕЖЕЛАТЕЛЬНЫЕ РЕАКЦИИ
Наиболее частыми нежелательными реакциями (частота ≥2%) являются: тошнота, рвота, реакции в месте инфузии, повышение уровня аланинаминотрансферазы, аспартатаминотрансферазы, гамма-глутамилтрансферазы, артериальная гипертензия, головная боль, диарея, бессонница и запор.
ЛЕКАРСТВЕННЫЕ ВЗАИМОДЕЙСТВИЯ
Пациентам, получающим антикоагулянтную терапию, может потребоваться снижение дозы антикоагулянта во время лечения препаратом NUZYRA.

Абсорбция тетрациклинов, включая NUZYRA, нарушается при одновременном применении антацидов, содержащих алюминий, кальций или магний, субсалицилата висмута, а также препаратов, содержащих железо.
ПРИМЕНЕНИЕ В ОСОБЫХ ГРУППАХ ПАЦИЕНТОВ
Лактация: грудное вскармливание не рекомендуется во время лечения препаратом NUZYRA.
ПРЕДУПРЕЖДЕНИЯ И МЕРЫ ПРЕДОСТОРОЖНОСТИ
В клиническом исследовании CABP было отмечено различие в смертности: восемь случаев смерти (2%) у пациентов, получавших NUZYRA, по сравнению с четырьмя случаями смерти (1%) у пациентов, получавших моксифлоксацин. Причина различий в смертности не установлена. Все случаи смерти в обеих группах лечения произошли у пациентов старше 65 лет; у большинства пациентов имелись множественные сопутствующие заболевания. Причины смерти были различными и включали ухудшение и/или осложнения инфекции и сопутствующих заболеваний. Необходимо тщательно контролировать клинический ответ на терапию у пациентов с CABP, особенно у пациентов с повышенным риском смертности.

Применение препарата NUZYRA в период формирования зубов (вторая половина беременности, младенческий и детский возраст до 8 лет) может привести к необратимому изменению окраски зубов (жёлто-серо-коричневый цвет) и гипоплазии эмали.

Применение препарата NUZYRA во втором и третьем триместрах беременности, в младенческом и детском возрасте до 8 лет может вызывать обратимое угнетение роста костей.

Сообщалось о реакциях гиперчувствительности при применении NUZYRA. При применении других антибактериальных препаратов класса тетрациклинов сообщалось о жизнеугрожающих реакциях гиперчувствительности (анафилаксия). NUZYRA структурно схож с другими антибактериальными препаратами класса тетрациклинов и противопоказан пациентам с известной гиперчувствительностью к препаратам этого класса. При возникновении аллергической реакции препарат NUZYRA следует отменить.

Сообщалось о диарее, ассоциированной с Clostridioides difficile (CDAD), при применении практически всех антибактериальных препаратов; её тяжесть может варьировать от лёгкой диареи до летального колита. При появлении диареи необходимо провести соответствующую оценку.

NUZYRA структурно схож с антибактериальными препаратами класса тетрациклинов и может иметь аналогичные нежелательные реакции. Нежелательные реакции, включая фоточувствительность, фиксированную лекарственную эритему, псевдоопухоль мозга и антианаболическое действие (которое приводило к повышению уровня азота мочевины крови, азотемии, ацидозу, гиперфосфатемии, панкреатиту и нарушениям показателей функции печени), сообщались при применении других антибактериальных препаратов класса тетрациклинов и могут возникать при применении NUZYRA. При подозрении на развитие таких нежелательных реакций препарат NUZYRA следует отменить.

Назначение препарата NUZYRA при отсутствии доказанной или предполагаемой бактериальной инфекции с высокой вероятностью не принесёт пользы пациенту и увеличивает риск развития лекарственно-устойчивых бактерий.
В клиническом исследовании CABP было отмечено различие в смертности: восемь случаев смерти (2%) у пациентов, получавших NUZYRA, по сравнению с четырьмя случаями смерти (1%) у пациентов, получавших моксифлоксацин. Причина различий в смертности не установлена. Все случаи смерти в обеих группах лечения произошли у пациентов старше 65 лет; у большинства пациентов имелись множественные сопутствующие заболевания. Причины смерти были различными и включали ухудшение и/или осложнения инфекции и сопутствующих заболеваний. Необходимо тщательно контролировать клинический ответ на терапию у пациентов с CABP, особенно у пациентов с повышенным риском смертности.

Применение препарата NUZYRA в период формирования зубов (вторая половина беременности, младенческий и детский возраст до 8 лет) может привести к необратимому изменению окраски зубов (жёлто-серо-коричневый цвет) и гипоплазии эмали.

Применение препарата NUZYRA во втором и третьем триместрах беременности, в младенческом и детском возрасте до 8 лет может вызывать обратимое угнетение роста костей.

Сообщалось о реакциях гиперчувствительности при применении NUZYRA. При применении других антибактериальных препаратов класса тетрациклинов сообщалось о жизнеугрожающих реакциях гиперчувствительности (анафилаксия). NUZYRA структурно схож с другими антибактериальными препаратами класса тетрациклинов и противопоказан пациентам с известной гиперчувствительностью к препаратам этого класса. При возникновении аллергической реакции препарат NUZYRA следует отменить.

Сообщалось о диарее, ассоциированной с Clostridioides difficile (CDAD), при применении практически всех антибактериальных препаратов; её тяжесть может варьировать от лёгкой диареи до летального колита. При появлении диареи необходимо провести соответствующую оценку.

NUZYRA структурно схож с антибактериальными препаратами класса тетрациклинов и может иметь аналогичные нежелательные реакции. Нежелательные реакции, включая фоточувствительность, фиксированную лекарственную эритему, псевдоопухоль мозга и антианаболическое действие (которое приводило к повышению уровня азота мочевины крови, азотемии, ацидозу, гиперфосфатемии, панкреатиту и нарушениям показателей функции печени), сообщались при применении других антибактериальных препаратов класса тетрациклинов и могут возникать при применении NUZYRA. При подозрении на развитие таких нежелательных реакций препарат NUZYRA следует отменить.

Назначение препарата NUZYRA при отсутствии доказанной или предполагаемой бактериальной инфекции с высокой вероятностью не принесёт пользы пациенту и увеличивает риск развития лекарственно-устойчивых бактерий.
Данный сайт предназначен для медицинских работников
Политика конфиденциальности
Условия использования
Контакты
Карта сайта
Изменить настройки файлов cookie